هوى الشام| نشرت مجلة ميدسين حالة نجاح الهيئة العامة لمشفى دمشق بعلاج شاب 34 عاماً يعاني من التهاب قولون تقرحي مع التهاب رئوي كوفيد 19 وسارس كوف 2 بالأدوية البيولوجية.
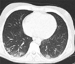
وأوضح مدير المشفى والمشرف على الحالة الدكتور أحمد عباس أن الشاب راجع شعبة الأمراض الهضمية بحالة هجمة التهاب قولون قرحي حاد مختلطة بالتهاب رئوي كوفيد 19 وسارس كوف 2 إضافة إلى أنه يعاني من الإسهال الدموي من 6 إلى 8 مرات في اليوم وارتفاع في الحرارة 38.9 درجة مئوية وآلام مغص حادة في البطن مع تشخيص قولون في الجانب الأيسر قبل ستة أشهر من مراجعته المشفى.
وأشار الدكتور عباس إلى أنه تم إجراء الفحوص والاستقصاءات الطبية ودراسة متكاملة لحالة المريض بالتعاون والتنسيق مع الكوادر الطبية الأخرى مبيناً أن التوصيات الطبية تتضارب حول مشاركة العلاج البيولوجي مع علاج كوفيد 19 عند الهجمة الحادة للمرض إلا أن المريض لم يستجب على جرعة عالية من الستيرويدات.
ولفت الدكتور عباس إلى أنه تم اتخاذ القرار بعلاج الحالة بالأدوية البيولوجية بإشراف ومتابعة لحظية من قبل الاختصاصيين وتقديم كل ما يلزم حتى تماثل للشفاء وتم تخريجه من المستشفى بحالة جيدة ومستقرة.
يذكر أن المجلة نشرت أواخر العام الماضي حالة وثقتها الهيئة العامة لمشفى دمشق نجحت فيها بعلاج طفل 13 عاماً يعاني من التهاب قولون تقرحي شديد عبر علاج بيولوجي يستخدم عادة للبالغين.

المصدر: سانا
(( تابعنا على الفيسبوك – تابعنا على تلغرام – تابعنا على انستغرام – تابعنا على تويتر ))


